Richiedi la brochure del percorso e maggiori informazioni sull'iscrizione

Continuando accetti la Privacy&Policy

Your Dental Future è l’academy fondata dal Dott. Luca De Stavola e Dott. Andrea Fincato; un programma di continuing education, nato per offrire al professionista dentale moderno tutti gli strumenti, clinici e strategici, per diventare la migliore versione di sé stesso.

A chi è rivolto il corso?

  • Clinici interessati ad approfondire le più moderne acquisizioni scientifiche e merceologiche necessarie per poter gestire con disinvoltura la scelta del restauro più corretto per i denti trattati endodonticamente
  • Clinici interessati al concetto di “base evidence dentistry” grazie ad una valutazione critica delle più recenti acquisizioni scientifiche e cliniche riportate dalla letteratura
  • Clinici interessati a muoversi con disinvoltura nel panorama merceologico dei materiali della conservativa per poter scegliere sempre con consapevolezza i materiali più indicati
  • Clinici che vogliono acquisire un protocollo semplificato per la conservativa diretta nei settori anteriori e posteriori. Dalla scelta della matrice e del cuneo alla tecnica di stratificazione delle masse di composito per un restauro di 4° casse altamente naturale
  • Clinici che vogliono acquisire sicurezza nella preparazione di onlay e overlay, saper scegliere il materiale più indicato e apprendere una tecnica dicementazione di facile esecuzione e predicibile nel risultato finale

Struttura del corso

Primo incontro: diagnosi e
piano di trattamento

  • Come impostare la visita e quali strumenti utilizzare per la diagnosi cariologica
  • ​Il piano di trattamento in conservativa
  • Comunicazione al paziente del p.d.t.
  • ​Gestione dell’agenda e dei tempi operativi
  • ​L’utilizzo dei sistemi di ingrandimento: Quale scegliere?
  • ​La remineralizzazione della carie: mito o strumento terapeutico?
  • ​Il piano di trattamento per il paziente altamente cariorecettivo

Isolamento e adesione

  • La Diga di gomma: Trucchi, materiali e protocolli per standardizzare e velocizzarne
  • ​Gli adesivi smalto-dentinali: come scegliere i migliori ed utilizzarli correttamente
  • ​L’ incappucciamento della polpa: Quando farlo? E come farlo?
  • ​I cementi vetroionomerici: Hanno senso in conservativa?

Secondo incontro:
restauri diretti posteriori

  • La Rimozione completa della carie senza sacrificare tessuto sano: gli strumenti e le tecniche più corrette
  • ​I Compositi: quali sono le reali differenze tra i diversi compositi? Quali sono i migliori compositi sul mercato?
  • Posizionare correttamente la matrice: quali sono i materiali più indicati? Come posizionare correttamente l’anello separatore e il cuneo per ottenere SEMPRE il punto di contatto
  • Modellazione facilitata dell’anatomia delle cuspidi : tips and tricks
  • ​L’utilizzo degli stain per caratterizzare i solchi occlusali
  • ​Come evitare la sensibilità postoperatoria: cause e rimedi
  • ​Come gestire la contrazione da polimerizzazione?
  • ​Le lampade per la fotopolimerizzazione: sono tutte uguali?

Terzo incontro:
restauri diretti anteriori

  • Scegliere il colore in maniera semplice e predicibile
  • Mock up Diretto e Indiretto
  • Stratificazione guidata o a mano libera?
  • ​La scelta ragionata dei compositi per i restauri anteriori
  • ​Come evitare la comparsa della linea grigia di passaggio
  • Stratificazione semplificata con 2 masse
  • ​Tips and tricks per la perfetta finitura e lucidatura del composito
  • ​V Classi : Come e quando trattarle, valutazioni interdisciplinari con la parodontologia
  • Gestione dei Traumi Dentari

Quarto incontro:
restauri indiretti posteriori

  • Quando optare per un restauro indiretto
  • ​Come decidere se mantenere o coprire le cuspidi
  • ​Materiali: Ceramica o Composito?
  • Impronta analogica e digitale
  • Build up e Immediate Dentine Sealing
  • Ampiezza biologica e lesioni profonde: Rilocazione del gradino cervicale o Allungamento di Corona Clinica?
  • Geometria della preparazione moderna per gli intarsi
  • Cementazione dell’intarsio: Semplificazione e standardizzazione del passaggio più critico

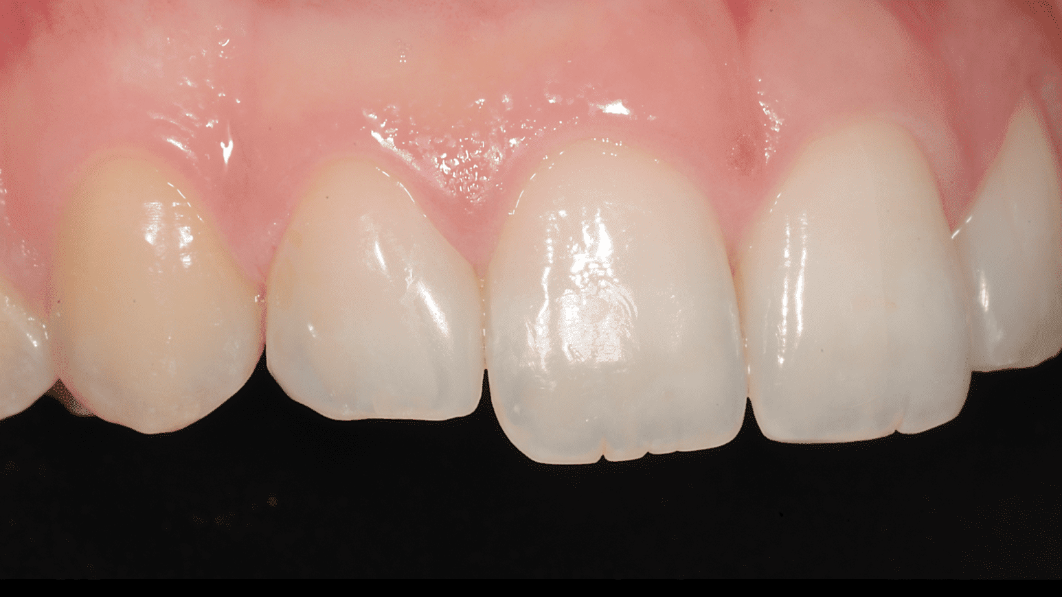
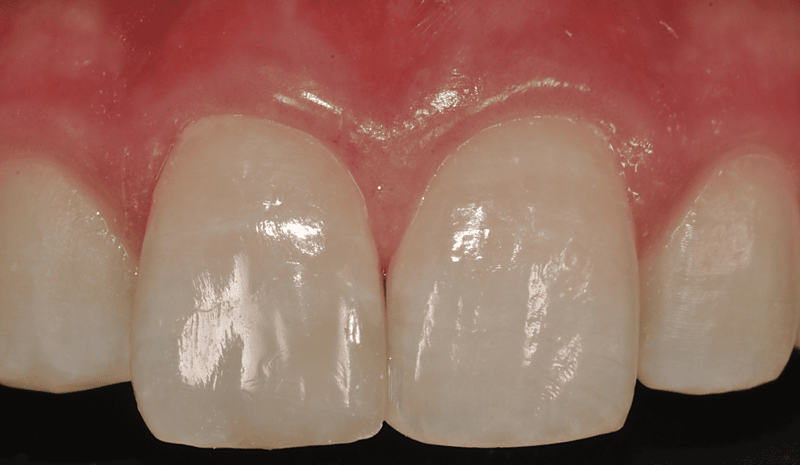
Alcuni dei tanti casi di maggiore successo

Perché il nostro corso di Conservativa?

Rimanere al passo ed anticipare gli sviluppi del mercato odontoiatrico è oggi la vera sfida di un professionista dentale.

Un percorso in salita, fatto di ostacoli e difficoltà, che richiede impegno e intraprendenza per riuscire a migliorare costantemente le proprie competenze ed arrivare ad essere un punto di riferimento per i propri pazienti, oggi e domani.

Come ogni percorso, gli strumenti sono fondamentali. Le innovazioni cliniche e tecnologiche, la maggior definizione dell’offerta clinica e l’analisi sempre più approfondita della domanda sono oggi opportunità importanti per conoscere al meglio il terreno odontoiatrico.

In un mercato che si sviluppa sempre più velocemente Your Dental Future è un programma di continuing education che da anni offre al professionista dentale moderno tutti gli strumenti, clinici e strategici, per rimanere al passo con i tempi diventando così la migliore versione di sé stesso.

Insieme ai nostri relatori abbiamo creato un piano di formazione completo che affronta dal punto di vista teorico e soprattutto pratico le diverse aree di competenza dell'odontoiatria Conservativa!

Un Team di eccellenza, i nostri relatori:

Dr. Marco Calabrese

1990 Laurea in Odontoiatria e Protesi Dentaria presso l’Università di Padova. 1994 consegue il diploma di perfezionamento in Odontoiatria Ricostruttrice presso l’Università di Siena. Dal 1991 al 2006 svolge attività di ricerca clinica e sperimentale presso CLOPD (Corso di Laurea in Odontoiatria e Protesi Dentaria) dell’Università di Padova nell’ambito dell’insegnamento di Odontoiatria Conservatrice sotto la guida del professor Pier Nicola Mason. Dal 1998 è Professore a contratto con incarico di insegnamento nel CLOPD di Padova nel corso di conservativa. Docente in corsi di perfezionamento in conservativa presso le Università di Bologna (2007) Padova (2009) Napoli (2009-2010) e Siena(2010 2011-2013-2014-2015). Dal 2012 è titolare dell’insegnamento di Odontoiatria Conservatrice nel CLOPD di Padova. È autore di numerose pubblicazioni scientifiche in ambito della conservativa adesiva; relatore a congressi e corsi nazionali ed internazionali. Svolge la libera professione a Padova occupandosi in particolare di odontoiatria restaurativa ed endodonzia.

Dr. Lorenzo Graiff

1990 Laurea in Odontoiatria e Protesi Dentaria presso l’Università di Padova. Dal 1991 al 2006 svolge attività di ricerca clinica e sperimentale presso CLOPD (Corso di Laura in Odontoiatria e Protesi Dentaria) dell’Università di Padova nell’ambito dell’insegnamento di Odontoiatria Conservatrice sotto la guida del professor Pier Nicola Mason. Dal 1998 è Professre a contratto con incarico di insegnamento nel CLOPD di Padova nel corso di conservativa. Docente in corsi di perfezionamento in conservativa presso le Università di Bologna (2007) Padova (2009) Napoli (2009-2010) e Siena(2010-2011-2013-2014-2015) A febbraio 2016 consegue il Dottorato di Ricerca in Ingegneria Meccatronica e dell'Innovazione Meccanica del Prodotto relativamente alle tecnologie CAD CAM utilizzate in campo dentale. Relatore a congressi e corsi, nazionali e internazionali; autore di numerose pubblicazioni scientifiche inerenti l’odontoiatria conservativa e l’endodonzia Svolge la libera professione a Padova, Vicenza e Mestre occupandosi in articolare di odontoiatria restaurativa estetica in campo protesico e conservativo e di endodonzia.

Dr. Marco Bambace

Laureato con il massimo dei voti e la lode in Odontoiatria e Protesi Dentaria presso l’Università di Padova. È professore a contratto presso l'Università degli studi di Padova. Si occupa esclusivamente di restauri estetici e protesi estetica su denti naturali e su impianti. Ha frequentato i corsi e gli studi di alcuni tra i professionisti più quotati in Italia. Collabora con diverse aziende come opinion leader. È relatore a corsi e congressi ed ha pubblicato diversi articoli sull’estetica dentale, ambito in cui ha vinto vari premi. Frequenta il master di II livello in Odontoiatria digitale dell’Università degli studi di Padova. Svolge la sua attività clinica negli studi del Prof. E. Bressan (PN), Prof. M. Calabrese (PD), Dott. M. Caruso (TV), Dott. Luca Sacchetto (VE). È socio IAO, AIC, e AIOP.

Richiedi la brochure del percorso e maggiori informazioni sull'iscrizione

Continuando accetti la Privacy&Policy

Your Dental Future è l’academy fondata dal Dott. Luca De Stavola e Dott. Andrea Fincato; un programma di continuing education, nato per offrire al professionista dentale moderno tutti gli strumenti, clinici e strategici, per diventare la migliore versione di sé stesso.

Copyright 2020 Your Brand All Rights Reserved
Powered By ClickFunnels.com